New MRI approach maps brain metabolism and reveals disease signatures
University of Illinois at Urbana-Champaign | 07-01-2025

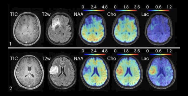
A new technology that uses clinical MRI machines to image metabolic activity in the brain could give researchers and clinicians unique insight into brain function and disease, researchers at the University of Illinois Urbana-Champaign report. The non-invasive, high-resolution metabolic imaging of the whole brain revealed differences in metabolic activity and neurotransmitter levels among brain regions; found metabolic alterations in brain tumors; and mapped and characterized multiple sclerosis lesions, with patients only spending minutes in an MRI scanner.
Led by Zhi-Pei Liang, a professor of electrical and computer engineering and a member of the Beckman Institute for Advanced Science and Technology at the U. of I., the team reported its findings in the journal Nature Biomedical Engineering.
“Understanding the brain, how it works, and what goes wrong when it is injured or diseased is considered one of the most exciting and challenging scientific endeavors of our time,” Liang said. “MRI has played major roles in unlocking the mysteries of the brain over the past four decades. Our new technology adds another dimension to MRI’s capability for brain imaging: visualization of brain metabolism and detection of metabolic alterations associated with brain diseases.”
Conventional MRI provides high-resolution, detailed imaging of brain structures. Functional MRI maps brain activity by detecting changes in blood flow and blood oxygenation level, which are closely linked to neural activity. However, they cannot provide information on the metabolic activity in the brain, which is important for understanding function and disease, said postdoctoral researcher Yibo Zhao, the first author of the paper.
“Metabolic and physiological changes often occur before structural and functional abnormalities are visible on conventional MRI and fMRI images,” Zhao said. “Metabolic imaging, therefore, can lead to early diagnosis and intervention of brain diseases.”
Both MRI and fMRI techniques are based on magnetic resonance signals from water molecules. The new technology measures signals from brain metabolites and neurotransmitters as well as water molecules, a technique known as magnetic resonance spectroscopic imaging. These MRSI images can provide significant new insights into brain function and disease processes, and could improve sensitivity and specificity for the detection and diagnosis of brain diseases, Zhao said.
Other attempts at MRSI have been bogged down by the lengthy times required to capture the images and high levels of noise obscuring the signals from neurotransmitters. The new technique addresses both challenges.
“Our technology overcomes several long-standing technical barriers to fast high-resolution metabolic imaging by synergistically integrating ultrafast data acquisition with physics-based machine learning methods for data processing,” Liang said. With the new MRSI technology, the Illinois team cut the time required for a whole brain scan to 12 and a half minutes.
The researchers tested their MRSI technique on several populations. In healthy subjects, the researchers found and mapped varying metabolic and neurotransmitter activity across different brain regions, indicating that such activity is not universal. In patients with brain tumors, the researchers found metabolic alterations, such as elevated choline and lactate, in tumors of different grades, even when the tumors appeared identical on clinical MRI images. In subjects with multiple sclerosis, the technique detected molecular changes associated with neuroinflammatory response and reduced neuronal activity up to 70 days before changes become visible on clinical MRI images, the researchers report.
The researchers foresee potential for broad clinical use of their technique: By tracking metabolic changes over time, clinicians can assess the effectiveness of treatments for neurological conditions, Liang said. Metabolic information can also be used to tailor treatments to individual patients based on their unique metabolic profiles.
“High-resolution whole-brain metabolic imaging has significant clinical potential,” said Liang, who began his career in the lab of the late Illinois professor Paul Lauterbur, recipient of the Nobel Prize for developing MRI technology. “Paul envisioned this exciting possibility and the general approach, but it has been very difficult to achieve his dream of fast, high-resolution metabolic imaging in the clinical setting.
“As healthcare is moving towards personalized, predictive, and precision medicine, this high-speed, high-resolution technology can provide a timely and effective tool to address an urgent unmet need for noninvasive metabolic imaging in clinical applications.”
Source:
Materials provided by University of Illinois at Urbana-Champaign, News Bureau. Content may be edited for clarity, style, and length.




